
Front of Mouth
This photo is similar to how you would pose for a regular picture, except much closer. Like in the example, your smile should be center, showing the entire surface of both your upper and lower teeth.

As part of our commitment to making dentistry convenient, enjoyable, and accessible, we now offer virtual consultations with Dr. Jay Lopez. Are you wondering if we can help your dental issue? Do you have flaws or imperfections in your smile that you’d like treated? With a virtual smile consultation, Dr. Lopez can provide you with personalized recommendations even before setting foot in our office. The best part is that it’s simple – anyone with the ability to take photos and send emails can do it. Keep reading to learn more about how our virtual smile consultations work!
First, you must take photos of your mouth. These images allow Dr. Lopez and the rest of our team to get a great look at your smile without seeing it in person. After reviewing these images, we will be able to make recommendations that are tailored to your unique needs. Before taking your photos, make sure that your teeth are freshly brushed, and that you’re in good lighting. If the images are not clear and focused, we may ask you to take them again. We will need 4 different focused photos of these specific angles:

This photo is similar to how you would pose for a regular picture, except much closer. Like in the example, your smile should be center, showing the entire surface of both your upper and lower teeth.

Like the example above, open your mouth as wide as you can and take a photo from below. This will help us see more of your smile, specifically the contour of your upper teeth.

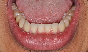
For this photo, pose just like you did for the previous one, only focus on your bottom teeth like in the example.

This photo is optional but recommended. Use two spoons to pull your cheeks away to show each side of your teeth with your top and bottom teeth slightly separated.

We are committed to doing all we can to help you achieve the smile you’ve always wanted. Whether it’s pain, cosmetic imperfections, or other issues, we want to hear about it! Do your best to describe to us exactly what is going on as well as what you hope to achieve with dentistry from Dr. Lopez. This will help us develop your personalized treatment plan.
Once you’ve taken the 4 easy photos, combine them with your concerns and email them over to us at info@dentistryintucson.com. All you have to do is add the photos to the email as separate attachments. Within a week, Dr. Lopez will review your oral health and concerns before sending you a personal message. This response will include important information like ideas of different dental services he may recommend before you come into the office to finalize your treatment plan.