Two sample pages titled Anatomy of a Perfect Bite and How Teeth Function and Look
What's Inside?
  • Understanding Porcelain Veneers
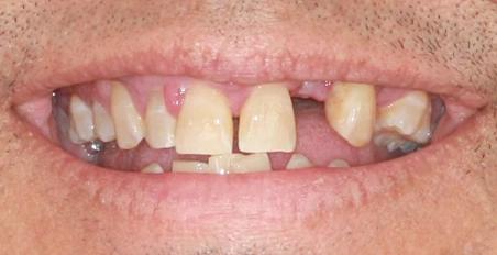
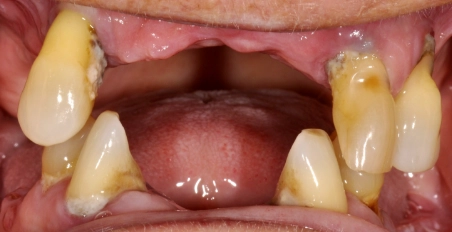
  • The Role of Occlusion (proper bite) in an Aesthetic Smile
  • The Aesthetic and Functional Benefits of Correct Positioning
  • Clear Aligners: An Easy Way to Achieve a Perfect Smile
  • The Relationship Between Orthodontics (clear aligners) and Veneers
  • And More!

Get Instant Access

To get instant digital access to Dr. Lopez’s electronic book, all you need to do is fill out the requested information to download it! If you have any questions, please don’t hesitate to contact our team.

Doctor Jay Lopez

Meet Dr. Jay Lopez

Dr. Jay Lopez is passionate about helping his patients not only restore their physical smiles, but also their confidence. He has advanced training in dental implants and reconstructive dentistry and is one of only a few dentists trained to use Digital Smile Design (DSD). His goal is to develop treatment plans that fit his patients’ needs and lifestyles, helping bring their smile right to where they want it to be. In many cases, the best way to do that is with dental implants!

Meet Dr. Lopez
Watch Our Video
to Learn More
youtube thumbnail
Patients Love Us

Dr. Lopez is one doctor who believes in continuing education and staying on top of the latest research and technology in his field. I would not trust anyone else to do complicated work on my teeth… I want to keep (them) when I’m old, and Dr. Lopez is helping me do that! He’s the best…!

Diane M.

Superb dentist and staff. State of the art technology and first of its kind here in Tucson! Had a complex treatment due to trauma to my mouth, we were able to find the right treatments after searching one over the other and finally came in for a final opinion, towards a satisfied patient!

Sonia H.

Dr. Lopez is the most talented and best dentist I've had. A true master of his profession. He has done wonders with my teeth. Others have noticed my dental transformation, and have complimented my teeth for the first time in my 70-year life.

Stephen G.